서울김진철치과
GREETINGS
DOCTOR
TREATMENT
CASE
GALLERY
NOTICE
CONTACT
CASE
18-03-22 |
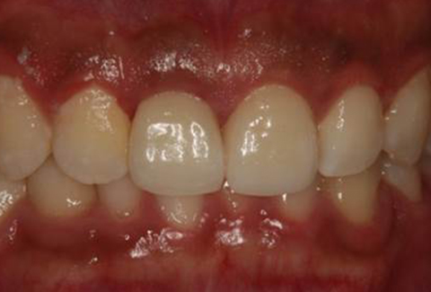
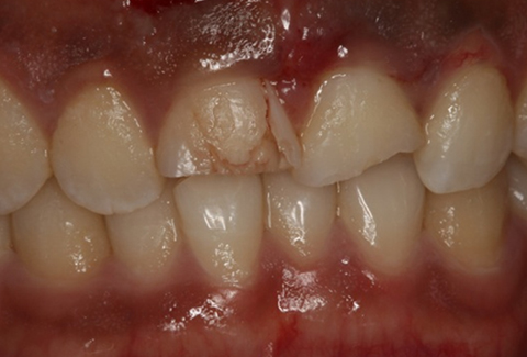
외과적 정출
본문
Before
After
외과적 정출
중간과정 ▼
X-RAY 사진 ▼
이전글
다음글
목록
김진철 치과교정과 치과의원은 기업/단체 및 개인의 정보 수집 및 이용 등 처리에 있어 아래의 사항을 관계법령에 따라 고지하고 안내해 드립니다. 1. 정보수집의 이용 목적 : 회사는 수집한 개인정보를 다음의 목적을 위해 활용합니다. 서비스 제공에 관한 계약 이행 및 서비스 제공에 따른 요금정산, 콘텐츠 제공 , 구매 및 요금 결제 , 물품배송 또는 청구지 등 발송 금융거래 본인 인증 및 금융 서비스 회원 관리 회원제 서비스 이용에 따른 본인확인 , 개인 식별 , 불량회원의 부정 이용 방지와 비인가 사용 방지 , 가입 의사 확인 , 연령확인 , 불만처리 등 민원처리 , 공지사항 전달 마케팅 및 광고에 활용 이벤트 등 광고성 정보 전달 , 접속 빈도 파악 또는 회원의 서비스 이용에 대한 통계 2. 수집/이용 항목 : 성명, 핸드폰번호, 상담내용 3. 보유 및 이용기간 : 개인정보 수집 및 이용목적이 달성된 후에는 관련 법령에 의한 정보보호 사유에 따라(보유 및 이용기간 참조) 일정 기간 저장된 후 파기. 4. 개인정보처리담당 : 전화: 02-304-7522
상담신청하기